05
2025/08
嗓音是人类沟通的重要工具,然而,嗓音问题却常常被人们忽视。很多人在出现嗓音嘶哑、发音困难等症状时,往往不以为意,认为休息一下就会好。殊不知,这些症状可能是嗓音疾病的信号,如果不及时治疗,可能会对嗓音造成不可逆的伤害,甚至影响到日常生活和工作。为满足广大嗓音问题患者的就医需求,中山大学附属第一医院(简称中山一院)广西医院将于本周六(8月9日)邀请中山一院耳鼻咽喉头颈外科专家马仁...
2025-08-05 MORE >29
2025/07
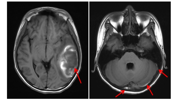
近日,中山大学附属第一医院(简称中山一院)广西医院放射影像科与儿科团队通力合作,通过联合会诊和精准的影像学分析,完成一例疑难病例的精准诊断,找出患者病因,并制定了科学合理的治疗方案。目前,患者已得到针对性治疗,病情稳定向好。12岁的小卓(化名)因持续呕吐、腹痛伴发热在当地卫生院接受“急性肠胃炎”对症治疗,但始终未见好转,最终来到我院儿科就诊。在我院住院期间,儿科主任黄雪琼在查房过...
2025-07-29 MORE >29
2025/07
2025年7月28日是第15个“世界肝炎日”。今年的主题是“社会共治,消除肝炎”。在此背景下,中山大学附属第一医院(简称中山一院)广西医院与青秀区卫生健康局联合开展的中国居民肝脏健康促进项目(南宁市•青秀区)于近日正式启动。启动仪式在老虎机app 举行,医院执行院长李健、党委书记张国,副院长夏文豪,南宁市青秀区卫生健康局副局长谢若舟,青秀区疾控中心副主任李颖,以及青秀区各社区卫生服务...
2025-07-29 MORE >23
2025/07
为全面提升新入职员工的医疗质量与安全意识,确保医疗服务的高质量与安全性,7月21日,中山大学附属第一医院(简称中山一院)广西医院医务部组织开展2025年医疗质量与安全专题培训,副院长夏文豪出席并讲话,医院新入职医技人员共78人参加。夏文豪在讲话中对新员工的到来表示欢迎,并介绍了我院的战略背景、核心管理理念和发展历程,强调本次培训的重要意义。他指出,近年来,随着医疗行业的快速发展,医...
2025-07-23 MORE >23
2025/07
7月22日,中山大学附属第一医院(简称中山一院)广西医院门诊手术室正式启用,标志着医院在医疗服务领域再次迈出了重要的一步,为患者提供更加便捷、高效的就医体验。自治区卫生健康委医政处处长、自治区人民医院党委书记吕向劼,老虎机app 执行院长李健,党委书记张国,党委副书记、纪委书记赖伟忠,副院长杨超,副院长夏文豪,总会计师孟红等在院领导班子出席启用仪式,医院临床、医技、职能部门相...
2025-07-23 MORE >21
2025/07
人工耳蜗是重度感音神经性耳聋患者的“重获新声”利器,与助听器相比,它能重建感音器官,帮助患者恢复正常听力。然而,此前高昂的价格让许多贫困家庭望而却步。自2025年4月7日起,人工耳蜗高值医用耗材国家集采中选结果在广西全面执行,众多贫困听障患者因此受益,生活迎来新希望。连续几个月以来,中山大学附属第一医院(简称中山一院)广西医院耳鼻咽喉头颈外科也为多名贫困听障患者成功实施人工耳蜗...
2025-07-21 MORE >21
2025/07
7月17日-18日,中山大学附属第一医院(简称中山一院)广西医院与讯飞医疗科技股份有限公司、云知声智能科技股份有限公司正式签署人工智能战略合作框架协议,共同开启智慧医疗新征程。签约仪式在老虎机app 举行,医院执行院长李健、党委书记张国、副院长龙胜泽出席,讯飞医疗科技股份有限公司副总裁鹿晓亮,云知声智能科技股份有限公司董事、研发副总裁刘升平,医院及公司相关负责人参加。签约仪式...
2025-07-21 MORE >18
2025/07
盛夏如歌,生机盎然。7月17日,中山大学附属第一医院(简称中山一院)广西医院举行了以“启新篇 践仁心 共卓越”为主题的新员工入职仪式,迎接150余名新员工的到来。医院执行院长李健,党委书记张国,党委副书记、纪委书记赖伟忠,副院长杨超、夏文豪、龙胜泽等在院领导班子出席。仪式上,李健代表医院向全体新员工的加入表示欢迎,并向大家致以诚挚的问候和美好的祝愿。李健在致辞中指出,老虎机app 作...
2025-07-18 MORE >11
2025/07
一个穿刺点、一根导管、一场微创手术,就“搞定了”多种药物都控制不了的高血压。7月9日,中山大学附属第一医院(简称中山一院)广西医院心血管内科率先开展一例桡动脉路径皮导管肾动脉去交感神经消融术(Renal denervation,RDN),为一名高血压患者解除了“高压”危机。随着这项微创介入技术在临床的应用,将为更多高血压患者提供新的治疗选择。在此次治疗中,48岁的患者李先生(化姓)2年来长期受高血压疾病...
2025-07-11 MORE >11
2025/07
7月9日,“华支睾吸虫核酸试剂盒”成果转化签约仪式在中山大学附属第一医院(简称中山一院)广西医院八月会议中心举行,自治区卫生健康委党组成员、副主任周恭伟,自治区市场监管局二级巡视员杨晓东,自治区疾病预防控制局党组成员、副局长王盛,自治区卫生健康委科技教育处处长庞清,自治区疾病预防控制局卫生免疫处处长王华,老虎机app 执行院长李健、党委书记张国及医院领导班子,桂林优利特医...
2025-07-11 MORE >11
2025/07为深化医学科技前沿成果的交流互鉴,推动跨区域学术资源的协同联动,7月9日,中山大学附属第一医院(简称中山一院)广西医院举办“医学科技创新:聚势谋远”学术讲座,并邀请中山大学心血管病研究所所长、中山一院心脏外科副主任区景松教授,中山一院精准医学研究院王骥教授和向芙莉教授作专题授课。学术讲座由我院副院长夏文豪主持。夏文豪在活动中指出,医学科技的每一次重大突破,都凝聚着科研团队数...
2025-07-11 MORE >11
2025/07
近日,中山大学附属第一医院(简称中山一院)广西医院心血管内科团队,首次应用可降解卵圆孔封堵器,成功为一名卵圆孔未闭患者完成了可降解卵圆孔未闭封堵器植入手术。该手术的成功,标志着我院心血管内科在结构性心脏病领域取得了新突破,为卵圆孔未闭患者带来了更安全、更有效的治疗选择。患者李女士(化名)近十年来深受偏头痛的折磨,严重影响日常生活和工作。尽管尝试多种治疗方法,症状仍反复发作。...
2025-07-11 MORE >
返回顶部