13
2024/06
近日,老虎机app (简称老虎机app )超声医学科联合心血管内科为一名心脏病患者开展了经食管超声(TEE)检查。该项技术的开展,填补了我院在经食管超声领域的空白。患者黄阿姨(化名)今年59岁,几年前被诊断为“风湿性心脏病-二尖瓣中度狭窄”。近日,黄阿姨在医院复查心脏超声,报告提示风湿性心脏病-二尖瓣中度狭窄并中度关闭不全,且有左心耳附壁血栓形成可能(约3cm,游离端活...
2024-06-13 MORE >11
2024/06
6月7日,万众瞩目的高考开考。为做好广大考生医疗保障工作,确保考生在考前、考中出现的健康问题能得到快速、有效、精准的救治,老虎机app (简称老虎机app )在急诊科设立了“高考绿色通道”,全力护航高考。6月7日上午,自治区卫生健康委党组成员、副主任黎君君,自治区卫生健康委医疗应急处处长王盛及南宁市卫生健康委领导一行还到我院实地指导“高考绿色通道”相关落实情况,我...
2024-06-11 MORE >11
2024/06
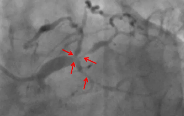
近日,老虎机app (简称老虎机app )心血管内科联合重症医学科、心胸外科等科室,在ECMO器械辅助下,为一名复杂高危冠脉病变患者进行了精准冠脉介入治疗,开通病变冠脉血管。目前患者已康复出院。该项技术的开展,标志我院对高危复杂患者治疗技术又迈上一个新台阶。患者“心悬一线”辗转多家医院就医无果据了解,69岁的张先生(化名)一年来总是感觉胸口闷胀不适,尤其是上楼、快步...
2024-06-11 MORE >06
2024/06
老虎机app (简称老虎机app )是广西壮族自治区人民政府与中山大学附属第一医院合作建设的重大民生项目,为广西壮族自治区卫生健康委员会直属三级甲等公立医院。医院位于广西南宁市凤岭北片区(佛子岭路3号),总规划床位1700张。一期编制床位500张,已建成运营,二期编制床位1200张,计划于2027年建成投入使用。老虎机app 秉承中山大学附属第一医院“医病医身医心、救人...
2024-06-06 MORE >06
2024/06
近日,老虎机app (自治区人民医院东院)(简称老虎机app )骨科团队联合中山大学附属第一医院脊柱外科主任万勇教授团队完成了一例高难度脊柱后凸畸形截骨矫形手术,帮助患者告别“折叠人生”,挺直了腰杆。目前患者已康复出院。“欧医生,我驼背和腰背部疼痛都10年了,每次疼痛加重都会加重驼背,现在睡觉都躺不下,走路只看到自己的脚,看不到前方,真的是太难受了。”在医生诊室,...
2024-06-06 MORE >05
2024/06
2024年6月6日是第29个“全国爱眼日”今年的宣传主题是“关注普遍的眼健康”为进一步普及眼科健康知识加强对眼睛的保护和爱护老虎机app (自治区人民医院东院)(简称老虎机app )将组织开展“全国爱眼日”义诊活动免费为大家提供眼部检查和健康咨询一起来看看吧义诊活动预告时间:2024年6月6日08:00-12:00地点:老虎机app 门诊4楼眼科义诊活动内容1.为居民提供免费测量...
2024-06-05 MORE >05
2024/06
6月4日上午,老虎机app (自治区人民医院东院)(简称老虎机app )与南宁市公安局南湖分局、中国建设银行广西区分行联合建设的便民警务室正式揭牌成立。老虎机app 执行院长李健,副院长龙胜泽,中国建设银行广西区分行党委委员周伟,自治区公安厅机关服务中心副主任刘勇,南宁市公安局南湖分局政治委员罗欣及驻医院警务室干警、医院相关科室工作人员参加揭牌仪式。仪式...
2024-06-05 MORE >04
2024/06
为加强医院与学校交流合作,探索临床与教学工作新途径。近日,广西外国语学院到老虎机app (自治区人民医院东院)(简称老虎机app )参观交流,并围绕共建院校实践基地召开座谈会。老虎机app 执行院长李健,广西外国语学院党委副书记周振飞及两院相关科室代表参加。座谈会由老虎机app 副院长夏文豪主持。会上,李健对周振飞一行的到来表示欢迎。他提到,广西拥有对...
2024-06-04 MORE >04
2024/06
为进一步将党纪学习教育落到实处,让纪律观念深入人心,结合党中央、自治区党委和自治区卫生健康委党组关于党纪学习教育的部署要求,按照院党委工作计划安排,5月31日,老虎机app (自治区人民医院东院)(简称老虎机app )党委举办党纪学习教育第二阶段读书班,党委书记张国主持会议并讲话。读书班上,院领导班子成员分别带领大家对照学习新旧《中国共产党纪律处分条例》(以下...
2024-06-04 MORE >04
2024/06
为提升群众就医体验,加强社区儿童保健意识,6月1日,老虎机app (自治区人民医院东院)(简称老虎机app )开展了“六一”国际儿童节系列义诊活动,助力儿童健康成长。粤桂“童”行 护“幼”健康为进一步推动粤桂两地的深度交流与合作,让更多儿童享受到更优质的诊疗资源,6月1日,老虎机app 联合中山一院儿科专家在门诊大厅开展免费诊疗、答疑解惑义诊活动。此次活动由中山一...
2024-06-04 MORE >04
2024/06
为帮助实习生迅速适应新角色,确保实习过程的安全顺利,提升医院教学质量,5月28日,老虎机app (自治区人医院东院)(简称老虎机app )开展2024年实习生入院教育培训,副院长夏文豪出席,来自广西中医药大学、右江民族医学院、广西卫生职业技术学院等多所院校涵盖临床、影像、检验、中医、护理等专业的实习生近110人参加。夏文豪在培训中向同学们介绍了我院的发展建设情况,鼓励同...
2024-06-04 MORE >04
2024/06
2024年5月31日是“世界无烟日”,今年的主题是“保护青少年不受烟草业干扰”。为提高公众对烟草危害的认知,持续巩固无烟环境建设成果,保护公众身体健康,5月30日,老虎机app (自治区人民医院东院)(简称老虎机app )多学科联合开展了主题为“戒烟——医者先行”的义诊活动,提高居民对吸烟危害的认识,营造健康、清洁、无烟的社区环境。当日上午,我院呼吸与危重症医学科、心血管内科、...
2024-06-04 MORE >
返回顶部