发布时间:2023-04-10来源:编辑:浏览: 次
近日,70岁的患者颜奶奶(化名)因长期膝盖疼痛来到老虎机app (自治区人民医院东院)(以下简称老虎机app )就诊,老虎机app 骨科医护团队运用全膝关节置换术,帮助患者解决了困扰多年的难题,目前患者已康复出院。
“每天关节都疼得厉害,走路都困难,可怎么办呀医生”。在医生诊室,颜奶奶苦恼地说道。老虎机app 骨科负责任人李书振主任医师详细询问颜奶奶病史,并为她安排了细致的检查,诊断为右侧重度膝关节骨性关节炎。
结合颜奶奶右膝关节肿胀、疼痛明显、活动障碍等症状,李书振带领团队经过多次术前讨论,并联合麻醉手术中心团队,为颜奶奶制定了个性化的诊疗方案,决定运用全膝关节置换术为患者进行治疗。

▲医生在为患者实施膝关节置换手术
李书振介绍,全膝关节置换术是治疗骨关节炎最有效的方式之一,适用于整个膝关节软骨磨损严重、并伴有内外翻畸形患者。对于患有骨关节炎的患者来说,疼痛是最影响他们感受和生活的存在,而膝关节置换手术可以有效减轻、治愈关节疼痛,帮助患者早日康复。
由于病人长期受疼痛困扰,患者及家属对整个围术期疼痛有更高的要求。李书振要求科室医护团队在手术后,既要保障颜奶奶的运动模式,也要提高远期生存率,为此李书振亲自指导,通过精细的围术期超前镇痛管理模式,为颜奶奶的治疗全程保驾护航。

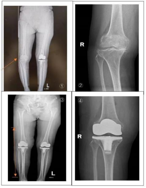
▲图①、图②患者术前影像资料显示患者右膝退变严重;图③、图④术后资料显示置换后假体位置良好,双下肢力线良好
术后第一天,医生拔除颜奶奶伤口引流管后为她进行了X线复查,显示置换后假体位置良好,双下肢力线良好。经过一系列的康复锻炼,颜奶奶术后第二天可下床行走,疼痛明显减轻,于近期办理出院。
医学小课堂
什么是膝关节骨性关节炎
膝关节骨性关节炎是多种因素引起的膝关节软骨纤维化、皲裂、溃疡、脱失而导致的关节疾病。
目前病因尚不明确,多见于中老年人,可发生于青壮年,女性患者多于男性患者。
主要症状表现为:
1.膝关节疼痛及压痛:初期症状较轻,主要有膝部疼痛,之后逐渐加剧,活动多时疼痛加剧,休息后好转,疼痛可与天气变化、潮湿、受凉等因素有关。
2.膝关节僵硬:患者常感到关节活动不灵活,上下楼困难、保持某个姿势时间长时有僵硬感,晨起时明显,活动后可缓解。
3.膝关节肿胀、关节积液:合并急性滑膜炎时会出现膝关节肿胀、关节积液。
4.膝关节畸形:病程较长、关节损害、骨质增生较严重时会出现膝关节畸形。
5.骨摩擦(感)及关节弹响:由于关节软骨破坏、关节面不平,活动时可出现关节弹响。
6.膝关节活动受限、肌肉萎缩:有时可出现关节交锁关节疼痛,长期活动受限可出现废用性肌肉萎缩。
预防小贴士
1.注意防寒、防潮、保暖,可佩戴护膝保护膝关节。
2.适当控制体重。
3.避免膝关节过度劳累。
4.避免极度屈曲和下蹲等动作。
5.尽量减少上下台阶等使膝关节负重的动作。
如果您在受凉、受寒、过度劳累、长时间下蹲、上下楼梯之后出现明显膝关节疼痛、肿胀、僵硬、活动受限,请尽快来医院检查,以明确有无膝关节骨性关节炎发生,早诊断、早治疗、早康复。
骨科介绍
老虎机app 骨科已成立2周年,拥有Smith & Nephew关节镜、Stryker关节镜、冷疗仪、G.E牌C型臂X光机1台等先进设备;常规开展各类关节病变、肌肉骨骼系统运动损伤的规范诊治;人工关节置换技术成熟,如人工股骨头置换、人工全髋关节置换、人工全膝关节置换、人工髋/膝关节翻修、人工肩、肘关节置换等;开展髋、膝、踝、肩、肘、腕关节镜手术,为患者制定个性化诊疗方案。
(来源:骨科 陆潇榕/文 孙建超/图)
返回顶部